solkysten_0001_solkysten_nov2024_0068

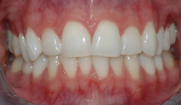
Estetisk tannbehandling

Dersom målet er et penere smil, er det mye man kan gjøre med estetisk tannbehandling…

  • Puss og polering

    Mye av det vi inntar i det daglige kan misfarge tennene. Dette gjelder for eksempel kaffe, te...

  • Tannbleking

    Ytre misfarging på tennene kan pusses bort. Ønsker man lysere tenner, er det derimot nødvendig med tannbleking...

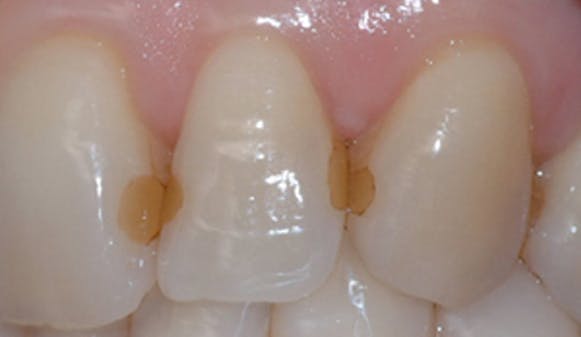
  • Utskifting av synlige fyllinger

    Fyllinger slites og misfarges over tid. Det er da mulig å skifte slitte og stygge fyllinger, for å få et penere smil...

  • Fasetter

    Hva er en fasett? En fasett er et tynt skall av porselen som limes fast på tannens ytterflate...

  • Estetisk kroneterapi

    Med tiden er det mange forhold som kan forringe estetikken på tennene. De kan for eksempel få hull...