solkysten_0001_solkysten_nov2024_0068

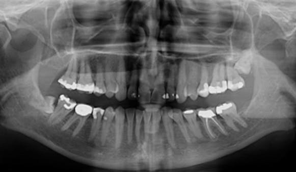
Undersøkelse hos tannlegen

Undersøkelse hos tannlege eller tannpleier bør gjøres årlig, og kan avdekke sykdom i munnhulen…

  • Tannlegeundersøkelse

    Det anbefales at man får undersøkt tenner og munnhule hos tannlege eller tannpleier regelmessig...

  • Sykdom i munnhulen

    De fleste forbinder tannlegebesøket med en sjekk etter hull i tennene. En full undersøkelse kan avdekke mye annet...

  • Kostbart hos tannlegen?

    Prisen for tannbehandling et relativt høy i Norge. Dette har mange årsaker - her følger en liten forklaring...

  • HELFO - Stønad til tannbehandling

    Hvem får stønad? I Norge har man krav på gratis tannbehandling ut året man fyller 18...